
文章图片

文章图片

文章图片

文章图片
永乐青花福山寿海纹大梅瓶
一型一器说苏青(二十三)
梅瓶是各朝瓷器中最为珍贵的器型 , 历来为藏家尊崇 。 永乐时期的梅瓶相比元代梅瓶 , 在造型上有明显变化 , 其下部有所外扩 , 显得更加稳固、敦实、厚重 , 肩部丰满 , 颈部由元代的梯形变为弧形 , 口沿由元代的平口外撇变化为唇口 。
民藏福山寿海大梅瓶
古人祝寿时常说的一句话是:“福如东海 , 寿比南山 。 ”用绘画表现就是大海波涛中山峦起伏 , 又称为“福山寿海 。 ”这种纹饰始于永乐 , 宣德时期常见 , 到宣德后期演变成海马纹、海兽纹 , 明后期到清代 , 海水纹内常有不同变化 , 但已经脱离了福山寿海的主题 。
故宫博物院藏永乐青花福山寿海纹大香炉
这款香炉共有一对 , 抗日时期为了保护国宝不被日本人抢走 , 国民政府将原故宫的珍宝打包南迁 , 可能是由于这件香炉有明显窑裂 , 将其留在北京 , 另一件碾转重庆、贵州等地 , 来到南京 , 四九年国民政府逃亡台湾时 , 匆忙中将这件香炉遗留在南京 , 该香炉现藏南京博物院 。
民藏福山寿海大梅瓶局部
这件民藏大梅瓶使用进口的苏麻离青料 , 发色深沉、艳丽、经典 , 铁锈斑深入胎骨 , 青花晕散自然 , 画工老道 , 画笔流畅 。
大梅瓶口沿
永乐时期的釉面比元青花的釉面更加厚重、油润 , 玉质感更强 , 保持了白中泛青的特点 。
铁锈斑显微图
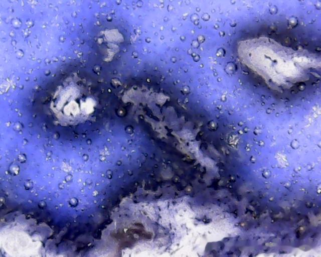
永乐时期的铁锈斑 , 很少见到元青花那种网状纹 , 以灰白色的块状纹 , 边缘由深到浅的过渡表现形式出现 。 从永乐青花起 , 到宣德时的青花 , 微观照相中 , 常常可见在釉下出现分布不规则的如雪花状结晶斑点 , 这种结晶斑的形成机制目前还无法确定 , 或许与烧造或保存环境有关 。 经笔者多年的实物对比研究 , 可以确定 , 凡是有结晶斑的青花 , 都是永宣完全到代的瓷器无疑 , 但也有永宣青花未见有结晶斑的真品 。
【永乐青花福山寿海纹大梅瓶】釉下结晶斑显微图
永乐福山寿海纹梅瓶釉下结晶斑
口沿处使用痕迹显微图
口沿处明显的自然使用痕迹
底图
浅宽圈足仍受元末的制瓷影响 , 这种特征只有在永乐早期才会出现 。
推荐阅读
- 艺术品|瓷器之城,打造青花艺术品,传达勇气与毅力
- 元青花|玩好瓷器收藏,这个因素很关键
- 老物件|故宫陶瓷馆:大名鼎鼎,元青花
- 釉里红|故宫陶瓷馆:宣德朝,青花极好釉里红也极好
- 釉里红|故宫陶瓷馆:永乐青花,青花瓷制作上的第二个高峰
- |清代花押款青花盘
- 元青花|为什么说传统老翡翠是时代风口?
- 鼻烟壶|回流【和田玉青花料 螭龙戏珠 鼻烟壶摆件】
- 顺治|看山石披麻皴染技法 辨明末清初青花瓷器
- |为什么青花瓷有着永不衰竭的生命力?
